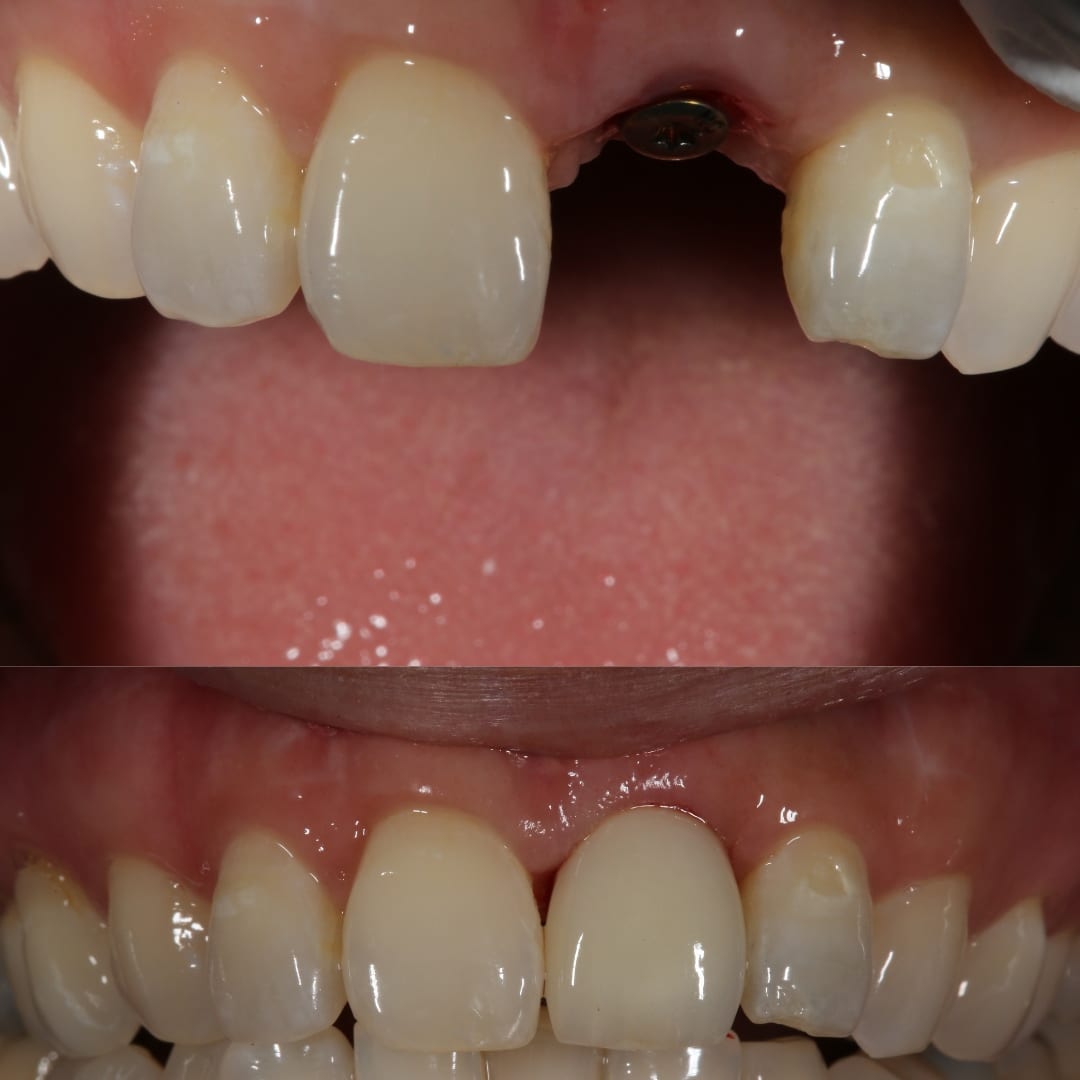
Pearl Smile Bromley Cross | Smile Gallery